Resections ~ Case Studies

____________________________________________________

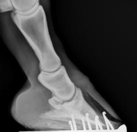
Resections - Case Study 1

I was called out to this horse as a referral lameness issue. On inspection I found that it had seedy toe. After looking at x-rays the hoof was debrided back to healthy tissue.

 

 

  

  

The foot was then filled to give it support and protection.

In bad cases of seedy toe I always get x-rays taken to see if there has been any changes to the pedal bone for example from infection.  In my experience the only way to treat seedy toe is to remove all necrotic tissue.  When resecting this much hoof wall it is important that you give sole support. On many of these cases the sole is usually prolapsed a little due to the lack of strength in the wall.